THE KARIUS SPECTRUM TEST CAN HELP YOU COMPLETE THE INVASIVE FUNGAL INFECTION PUZZLE
Diagnostic Application: Invasive Fungal Infections
In the absence of culture data, fungal markers like β-d-glucan (BDG) and galactomannan are limited by poor sensitivity and specificity.1-3
Featured Case
Study Site: UCLA Health
66 year old male with a history of a kidney transplant presented with progressive painful plaque-like lesions on his distal finger and toe. CT angiogram revealed pulmonary nodules with cavitation. Broad-spectrum antimicrobial therapy was started.
Tests Performed: Skin biopsy, echocardiograms (TTE and TEE), doppler ultrasounds, cultures and fungal antibodies, and vasculitis markers were all unrevealing. Bronchoscopy with BAL and cultures were negative.
Karius Spectrum Test Result: Cunninghamella
Outcome: Antimicrobial therapy was de-escalated to posaconazole only and the patient was discharged from the hospital. No additional digit lesions developed.

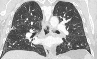
"Computer tomography (CT) coronal view of right upper lobe cavitary lesion with several bilateral pulmonary nodules seen"
Clinical Evidence
Study Site: OSF St. Francis Medical Center
In a study of 23 adult patients with Karius Spectrum test positive for P. jirovecii (PJP) and with clinical manifestations consistent with PJP, Karius Spectrum test had a positive clinical impact on the diagnosis and management in 82.6% of patients who had no pre-established diagnosis of PJP through standard testing.*,5

Invasive Fungal Infection Sample Algorithm*



*This sample algorithm was developed by the Karius Medical Affairs team based on existing guidelines and published data regarding the Karius Test. Clnicians and institutions should evaluate the body of evidence supporting use of the Karius Spectrum test independently when selecting diagnostic tools and developing diagnostic pathways for organizations.
**Clinical suspicion of Pneumocystisjirovecii pneumonia (hypoxia and compatible imaging), consider obtaining Karius Spectrum.
†e.g., galactomannan, β-D-glucan, serum/urine Histoplasma antigen, serum/urine cryptococcal antigen, Coccidioides serum titers.
Learn More About the Kariu Spectrum
References:
1. Freeman Weiss Z et al. J Fungi (Basel). 2021 Feb 9;7(2):127.
2. Lu Y, et al. Intern Med. 2011;50(22):2783-91. Epub 2011 Nov 15.
3. Leeflang MMG, et al. Cochrane Database Syst Rev. 2015 Dec 30;2015(12):CD007394.
4. Xu D, et al. Proc UCLA Health. 2022;26.
5. Foong KS, et al. Open Forum Infect Dis. 2022 Dec 2;9(12):ofac652.
6. NCCN. Prevention and treatment of cancer-related infections. Version 3.2022.
7. Hage, CA et al. American journal of respiratory and critical care medicine vol. 200,5 (2019): 535-550.
8. Dadwal, SS et al. Transplantation and cellular therapy vol. 27,3 (2021): 201-211.
9. Miller, JM et al. Clinical infectious diseases : an official publication of the Infectious Diseases Society of America vol. 67,6 (2018): e1-e94.
10. Bergin S, et al. Poster presented at: IDWeek 2022, October 2022.